-
Senior Health and Aging
Navigating Widowhood and Partnership: The Impact of PACS on Survivor Pensions in France
The decision to enter into a PACS (Pacte Civil de Solidarité), a civil solidarity pact in France, after the death…
Read More » -
Senior Health and Aging
Unlock the Secrets to Propagating Your Own Fig Trees This Spring Through Simple Cuttings
The gentle thaw of spring often awakens a gardener’s desire for expansion, a natural inclination to replicate the joy of…
Read More » -
Health Technology
The Growing Role of SMS Technology in Optimizing Post-Operative Continuity of Care and Hospital Information Systems
The modern healthcare landscape is undergoing a significant transformation, shifting its focus from the immediate clinical intervention to the broader…
Read More » -
Senior Health and Aging
The Unbelievable Little-Known Village Where Nathalie Baye is Now Hiding, and Houses Cost a Pittance
In the discreet heart of the Creuse department, a whisper has been circulating among real estate professionals and celebrity circles:…
Read More » -
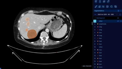
Health Technology
Gustave Roussy Pioneers Precision Oncology with DuOnco Unity AI for Comprehensive Tumor Burden Assessment
The landscape of cancer treatment evaluation is undergoing a fundamental transformation as Gustave Roussy, Europe’s leading cancer center, unveils DuOnco…
Read More »